CLINIC
医院紹介
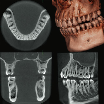
歯科用CT完備
CT(コンピュータ断層撮影)とは、コンピュータを駆使してデータ処理と画像を解析してそれぞれの断面の画像を撮影する技術です。
歯科用CTとは歯科分野に特化したCT装置のことであり、一般の医科用CTと比べ被曝量が1/10と少ないのが大きな特徴で、撮影時間も十数秒で済むことから患者様への負担を大幅に軽減することができます。
また、歯科用CTでは、歯が失われた部分の骨の厚みや深さ密度、上顎洞や下顎管までの距離を正確に計測し、三次元的に立体的に把握できるデータを得ることができます。
歯科用CTを活用することにより診断・治療の精度を大きく向上させることが可能となります。


院内紹介
-
医院外観
-
受付
-
待合室
-
診察室
-
診察室
設備紹介
-
デジタルレントゲン
-
診療台
-
高圧蒸気滅菌器
-
口腔内カメラ
-
口腔内記録用カメラ
-
電動注射器
-
ルーペ
-
ルーペ
2024年診療報酬改定に伴う加算に係る掲示について
◆当医院は、以下の施設基準等に適合している旨、厚生労働省地方厚生(支)局に届出を行っています。
歯科初診料の注 1 に規定する基準
歯科外来診療における院内感染防止対策に十分な体制の整備、十分な機器を有し、研修を受けた常勤の歯科医師及びスタッフがおります。
オンライン資格確認による医療情報の取得
当医院では、オンライン資格確認システムを導入しており、マイナンバーカードが健康保険証として利用できます。
患者さんの薬剤情報等の診療情報を取得・活用して、質の高い医療提供に努めています。マイナ保険証の利用にご協力ください。
明細書発行体制
個別の診療報酬の算定項目の分かる明細書を無料で発行しています。
なお、必要のない場合にはお申し出ください。
クラウン•ブリッジの維持管理
装着した冠(かぶせ物)やブリッジについて、2年間の維持管理を行っています。
CAD/CAM冠及びCAD/CAMインレー
CAD/CAMと呼ばれるコンピュータ支援設計・製造ユニットを用いて製作される冠やインレー(かぶせ物、詰め物)を用いて治療を行っています。
歯科外来診療感染対策加算1(外感染)
当医院では、院内感染管理者を配置しており、院内感染防止対策について十分な体制を整備しています。
歯科外来診療医療安全対策加算1(外安全)
医療安全対策に関わる指針の策定
・医療安全対策に関わる研修の受講ならびに、従業員への研修の実施
・安全で安心な歯科医療環境を提供するための装置・器具等の設置
・AED、パルスオキシメーター、酸素、血圧計、救急蘇生セット、歯科用吸引装置
・緊急時に対応できるよう医科と連携
緊急時の連携保険医療機関
医療機関の名称 ナカオカクリニック
所在地 川崎市幸区下平間38
緊急時の連絡方法 電話連絡し救急車
医療機関の名称 川崎市立川崎病院
所在地 川崎市川崎区新川通12-1
緊急時の連絡方法 電話連絡し救急車